Undifferentiated Epithelioid Sarcoma Presenting as a Fever of Unknown Origin

A Case Report

Nicholas Sajko; Shannon Murphy; Allen Tran

Disclosures

J Med Case Reports. 2019;13(24) 

In This Article

Abstract and Introduction

Abstract

Background: Fever of unknown origin is often a diagnostic dilemma for clinicians due to its extremely broad differential. One of the rarer categories of disease causing fever of unknown origin is malignancies; of these, soft tissue sarcoma is one of the least common. Soft tissue sarcomas make up < 1% of all adult malignancies and often do not present with any systemic manifestations or neoplastic fevers.

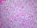
Case presentation: A 73-year-old Caucasian woman presented with a 2-week history of fever and profound fatigue. The only other symptom she endorsed was a transient history of left knee pain, initially thought to be unrelated. There was no clear cause on initial examination and routine investigations, but her C-reactive protein was significantly elevated at 207 mg/L. Blood cultures and a urine culture were drawn. She was admitted to hospital for further investigation and placed on empiric antibiotics. Her blood cultures were negative, but she had one further fever in hospital. Computed tomography scans did not yield a cause of her fever. No vegetations were seen on echocardiography. Antibiotics were stopped as she did not seem to have an acute infectious cause of her fever. No new symptoms developed. She felt well enough to proceed with out-patient follow up and was discharged after 8 days in hospital. At 1-month post-discharge: no resolution of symptoms, but she endorsed a recurrence of her left knee pain. Ultrasound and magnetic resonance imaging revealed a 4.5 × 6.8 × 11.6 cm soft tissue mass, identified as a sarcoma on biopsy. She subsequently underwent a distal femur resection. Final staging was pT2bN0M0. She underwent adjuvant radiation therapy, but was found to have developed metastatic disease.

Conclusion: This case revealed an atypical presentation of a rare soft tissue sarcoma as the cause of the illness. The etiology behind a fever of unknown origin can be difficult to elucidate, making the approach to investigation particularly important. Repeated history-taking and serial physical examinations can be crucial in guiding investigations and ultimately arriving at a diagnosis. In addition, we believe this case highlights the adage that no seemingly innocuous symptom should be left out when working up a condition with such an extensive and complex differential.

Introduction

The case described is of a patient with non-specific constitutional symptoms, an initial history of transient left knee pain, and the development of a FUO. Workup eventually led to the diagnosis of an undifferentiated sarcoma of epithelioid morphology. This diagnosis is not only rare in terms of sarcoma incidence rates, but also because of its unusual systemic presentation.[1]

Sarcomas are a heterogeneous group of malignant tumors of mesenchymal origin, representing roughly < 1% of all adult malignancies. Approximately 90% of cases of sarcoma are defined as soft tissue sarcomas (STSs): developing in the muscles, deep tissues, blood vessels, nerves, fat, and joints, while the rest are classified as malignant bone tumors.[2]

The Surveillance, Epidemiology, and End Results (SEER) database indicates that the incidence rates of STS development are highest in children < 5 years of age and in adults > 50-years old, with the lowest incidence found in young adults.[2] Numerous predisposing factors have been considered and include various genetic, environmental, and iatrogenic entities; however, no definitive or specific etiologies have been identified (Table 1).[2]

STS can be divided extensively by histologic subtypes, for which the World Health Organization (WHO) currently lists more than 100. These malignancies can also be described in terms of location and specific histologic morphology. Site distribution favors the lower extremities (29%), with tumors less often involving the upper extremities (11%) and trunk (10%) (Table 2).[3] Morphology is often used as a descriptor for the undifferentiated/unclassified subtype, as was the case with our patient who was discovered to have an undifferentiated sarcoma of epithelioid morphology.

In 1961, Petersdorf and Beeson defined a FUO as consisting of the following three criteria:[4]

  1. A temperature of > 38.3 °C on several occasions,

  2. > 3 weeks' duration of illness, and

  3. a failure to reach a diagnosis despite 1 week of in-patient investigations.

This definition has changed numerous times over the years due to our better understanding of various fever-inducing conditions and improved diagnostic capabilities.[5] The most widely used definition now divides FUO into four major categories, each having specific definitions and potential causes (Table 3).[6] The most common category of FUO, and the one relating closest to the case presentation, is the "Classical FUO" subtype. A review of 26 studies of FUO shows the common etiologies of this subtype to include: infections (36.2%), malignancies (12.8%), non-infectious inflammatory diseases (20.9%), miscellaneous (6.2%), and undiagnosed (23.7%).[5]

processing....