After a five-year wait, a new hydrotherapy pool is ready to open in Canberra's south, and while it's being welcomed by those living with chronic health conditions, concerns remain that it won't be enough to meet demand.
Topic:Analysis
When Harry could no longer clench a fist during karate classes, it signalled the start of a long, painful journey
Harry was 10 when clenching his fists during karate classes became difficult. But the real turning point came when he asked his mum and dad to stop hugging him because it hurt too much.
Delays in juvenile arthritis diagnoses causing kids to live in pain
A study into the illness has found families bearing a significant financial burden, and children suffering physically and mentally.
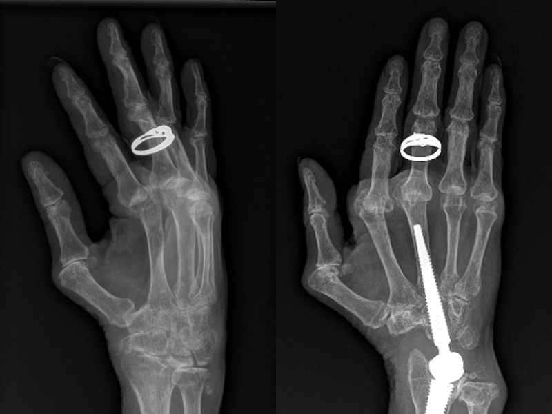
Wrist replacement surgery gives Queensland woman who uses Auslan back her 'voice'
Standard surgery for rheumatoid arthritis could have only further limited Tracy Howlett's movement, so surgeons did something "unconventional" instead.
Wrist replacement surgery gives Queensland woman who uses Auslan back her 'voice'
Tracy Howlett uses Auslan to communicate. But it all became "debilitating and painful" after the 59-year-old, who is deaf, was diagnosed with rheumatoid arthritis. Standard surgery for rheumatoid arthritis would create further limitations on Ms Howlett's ability to communicate. So, Queensland hand surgeons performed "unconventional" wrist replacement surgery so she can regain her "voice".
'I can communicate and move': Woman who uses Auslan gets 'unconventional' wrist surgery
Tracey Howlett, who uses Auslan, got "unconventional" wrist surgery after arthritis made it painful to communicate. Her case promoted further research into how to care for people who are deaf and have develop arthritis. The new study found Auslan communicators required 122 degrees of flexion/extension motion in their wrist and 111 degrees of motion in their elbow to communicate effectively.
Nine signs you have chronic inflammation in your body
In the short-term, inflammation is a sign your body is healing. But persistent levels of inflammation in blood and tissue — called "inflammaging" — is linked to disease, write Lauren Ball and Emily Burch.
Arthritis condition complicated by lack of specialists
Juvenile arthritis is one of the most common chronic diseases affecting Australian children, but the battle to find specialist care often means travelling a long way from home.
Rohan started struggling to walk as a toddler — it took months to diagnose juvenile arthritis
Juvenile arthritis is one of the most common chronic diseases affecting Australian children, but a scarcity of specialists is making diagnosis and care a challenge.
How online ballet classes helped Colleen get her groove back after years of aches and pains
The 68-year-old former nurse — who lives with arthritis — says she's been able to walk down steps easily again after learning ballet.
Osteoarthritis program seeing signs of success in Australia
A new osteoarthritis program has seen three in four participants report reduced pain, improved quality of life, and a reduction in desire to have surgery.
New osteoarthritis program in Australia showing signs of success
A new osteoarthritis program in Australia has seen three in four participants report reduced pain, improved quality of life, and a reduction in desire to have surgery.
'Hospital on wheels' a likely gamechanger for homeless people such as Peter
A mobile health clinic being opened by St Vincent's Public Hospital means rough sleepers can get a blood test while they have a hot meal at one of Sydney's community centres.
Rosemarie is one of about 100 patients that relies on hydrotherapy, but uncertainty remains over her pool's reopening
A therapeutic pool at Albany hospital sits empty despite arthritis sufferers appealing to health authorities for its reopening.
'It broke my heart': What 13-year-old Cait wants you to know about her incurable arthritis
In primary school, Cait Reid experienced severe pain and a tendency to break bones but it took a social media post to direct her to the right doctor and be diagnosed with juvenile idiopathic arthritis.
Can 'lifestyle medicine' help treat chronic pain?
Anu, who's dealt with crippling chronic pain for the better part of three decades, has signed up to an experiment to see if "lifestyle medicine" can help place her on a path to better health.
Student says university's new library misses the mark for people with disability
Bendigo's La Trobe University says it has listened to a student living with a disability, revoking its rule requiring a chaperone to access a badly designed, new university library.
Warning Surf Coast holidaymakers may have picked up Ross River fever
Lee Powell got sick with Ross River virus in late 2016, and the illness is still dominating her life. She's now warning residents and holidaymakers of Victoria's Surf Coast to not ignore the symptoms and protect themselves against the virus.
Grey nomads shiver as sunshine state border remains closed
Retired Australians used to migrating north for the winter face their first frosty mornings in years as coronavirus pushes their departure back.
Long-time patients can't get hydroxychloroquine after Trump's cure claims
People who have relied on hydroxychloroquine for years to treat autoimmune disease have recently encountered empty pharmacy shelves.
Trump's 'game-changer' drug to be tested on Australian health workers
More than 1,000 health workers will get daily doses of hydroxychloroquine — which is also being taken by the US President — to see how well it can ward off coronavirus, but the researchers are warning against its "ad hoc" use.
