Azole-Resistant COVID-19-Associated Pulmonary Aspergillosis in an Immunocompetent Host: A Case Report
- PMID: 32517166
 - PMCID: PMC7344504
 - DOI: 10.3390/jof6020079
 
Azole-Resistant COVID-19-Associated Pulmonary Aspergillosis in an Immunocompetent Host: A Case Report
Abstract
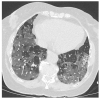
COVID-19-associated pulmonary aspergillosis (CAPA) is a recently described disease entity affecting patients with severe pulmonary abnormalities treated in intensive care units. Delays in diagnosis contribute to a delayed start of antifungal therapy. In addition, the emergence of resistance to triazole antifungal agents puts emphasis on early surveillance for azole-resistant Aspergillus species. We present a patient with putative CAPA due to Aspergillus fumigatus with identification of a triazole-resistant isolate during therapy. We underline the challenges faced in the management of these cases, the importance of early diagnosis and need for surveillance given the emergence of triazole resistance.
Keywords: Aspergillus fumigatus; CAPA; ICU; SARS-CoV-2; TR34L98H; azole-resistant Aspergillus; co-infection; pulmonary aspergillosis.
Conflict of interest statement
The authors declare no conflict of interest.
Figures
References
Publication types
LinkOut - more resources
Full Text Sources
Miscellaneous
              
              