Skip to main page content
U.S. flag

An official website of the United States government

Dot gov

The .gov means it’s official.
Federal government websites often end in .gov or .mil. Before sharing sensitive information, make sure you’re on a federal government site.

Https

The site is secure.
The https:// ensures that you are connecting to the official website and that any information you provide is encrypted and transmitted securely.

Access keys NCBI Homepage MyNCBI Homepage Main Content Main Navigation
. 2013 Feb;19(2):230-6.
doi: 10.3201/eid1902.121031.

Plague outbreak in Libya, 2009, unrelated to plague in Algeria

Affiliations

Plague outbreak in Libya, 2009, unrelated to plague in Algeria

Nicolas Cabanel et al. Emerg Infect Dis. 2013 Feb.

Abstract

After 25 years of no cases of plague, this disease recurred near Tobruk, Libya, in 2009. An epidemiologic investigation identified 5 confirmed cases. We determined ribotypes, Not1 restriction profiles, and IS100 and IS1541 hybridization patterns of strains isolated during this outbreak. We also analyzed strains isolated during the 2003 plague epidemic in Algeria to determine whether there were epidemiologic links between the 2 events. Our results demonstrate unambiguously that neighboring but independent plague foci coexist in Algeria and Libya. They also indicate that these outbreaks were most likely caused by reactivation of organisms in local or regional foci believed to be dormant (Libya) or extinct (Algeria) for decades, rather than by recent importation of Yersinia pestis from distant foci. Environmental factors favorable for plague reemergence might exist in this area and lead to reactivation of organisms in other ancient foci.

PubMed Disclaimer

Figures

Figure 1
Figure 1
Locations of plague outbreaks in Oran, Algeria, and Tobruk, Libya. Upper panels show regions around Oran and Tobruk where plague cases were found.
Figure 2
Figure 2
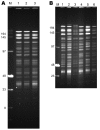
NotI pulsed-field gel electrophoresis patterns of Yersinia pestis strains of biovar Medievalis obtained during plague outbreak in Libya, 2009. A) Pattern of three 2009 isolates from Libya. Lane M, low-range DNA marker (New England Biolabs, Ipswich, MA, USA); lane 1, IP1973; lane 2, IP1974; lane 3, IP1975. B) Comparison of the pattern of 1 isolate from Libya with those of other biovar Medievalis strains. Lane M, low-range DNA marker (New England Biolabs); lane 1, IP516 (Kurdistan); lane 2, IP519 (Kurdistan); lane 3, IP565 (Turkey); lane 4, IP1975 (Libya); lane 5, IP562 (Kurdistan); lane 6, IP564 (Kurdistan). Values on the left are in kilobases.
Figure 3
Figure 3
Insertion sequence–restriction fragment length polymorphism profiles of 3 Yersinia pestis strains obtained during plague outbreak in Libya, 2009. Genomic DNA of strains IP1973 (lane 1), IP1974 (lane 2), and IP1975 (lane 3) were hybridized with an IS100 (after EcoRI digestion) or an IS1541 probe (after HindIII digestion).
Figure 4
Figure 4
IS100 and IS1541 restriction fragment length polymorphism patterns of 70 Yersinia pestis isolates of worldwide origin. A) Medievalis branch. B), ancient strain from Algeria (IP1867); C) other strains from Algeria and various isolates from Africa. The dendrogram was constructed by using the unweighted pair group method with arithmetic mean clustering analysis and a position tolerance of 1.8%. Biovar is shown on the right. UN, unknown; ND, not determined.
Figure 5
Figure 5
NotI pulsed-field gel electrophoresis patterns of Yersinia pestis isolates from plague outbreak in Algeria, 2009. Lane M, low-range DNA marker (New England Biolabs, Ipswich, MA, USA); lane 1, IP1860 (Kehailia); lane 2, IP1861 (Hama Ali); lane 3, IP1862 (Hamoul); lane 4, IP1863 (Ain Temouchent); lane 5, IP1864 (Ain Temouchent). Values on the left are in kilobases. Arrowheads indicate positions of variable bands.

References

    1. Pollitzer R. Plague. WHO monograph series 22. Geneva: World Health Organization; 1954.
    1. Morelli G, Song Y, Mazzoni CJ, Eppinger M, Roumagnac P, Wagner DM, et al. Yersinia pestis genome sequencing identifies patterns of global phylogenetic diversity. Nat Genet. 2010;42:1140–3 . 10.1038/ng.705 - DOI - PMC - PubMed
    1. Yersin A. Bubonic plague in Hong Kong [in French]. Ann Inst Pasteur (Paris). 1894;8:662–7.
    1. Simond P. The spread of plague [in French]. Ann Inst Pasteur (Paris). 1898;12:625–87.
    1. World Health Organization. Human plague: review of regional morbidity and mortality, 2004–2009. Wkly Epidemiol Rec. 2009;85:40–5. - PubMed

LinkOut - more resources